美版新代超声刀

岁月你别催, 走远的青春痕迹

正品保证,高端品质!
清晰可见的施术过程

痛症最小化的新代超声刀

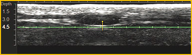
通过已获得专利的超声波影像技术,施术院长可以直接通过肉眼确认患密集的皮肤状态.
   同时可避开骨骼及血管等敏感位置,将痛症和淤青降低到最小化.
施术时可通过实时超声波影像,确定骨骼和血管位置,可避免浮肿、痛症最小化.

真皮
脂肪纤维隔膜
肌肉
1.5mm
3.0mm
4.5mm
施术专用超声波
超声波影像
血管
骨骼

美版超声刀

美版超声刀是美国Ulthera公司2008年生产的首创非侵入式治疗SMAS层的仪器。它是以精确定位高强度聚焦式超声波能量射入真皮层、基底层、SMAS筋膜层。提拉并再生松弛的皮肤。刺激胶原蛋白,一次性改善皮肤弹性、提拉、紧致除皱的施术。美版超声刀是2019年皮肤提拉术中受欢迎的施术之一。
深度
温度
精准度
在音波影像下清晰可见皮下筋膜组织
精准 + 深度 + 温度
= 最佳效果
能量穿透皮层, 可作用于SMAS层
60-70度高温有效刺激胶原蛋白增生和重组

               颜美

       美版超声刀 

收缩面部轮廓
改善皮肤弹性
美版
超声刀
改善毛孔粗大
提升面部线条
实现水润嫩白

效果

祛除皮肤粗糙
MINE PLASTIC SURGERY·DERMATOLOGY
眼皮松弛
抬头纹
嘴角纹

推荐施术部位

眉间纹​
面部松弛
鱼尾纹
苹果肌下移
八字纹加深
下颌线条不清晰
眼周细纹
泪沟
脸颊凹陷
颈 部
MINE PLASTIC SURGERY·DERMATOLOGY
面 部
眼 部
下 巴

童颜逆龄套餐

MINE DERMATOLOGY
颜美皮肤科主打项目:激活肌肤抗氧化再生能力丽珠兰注射与最大限度提升肌肤效果的颜美独有技术,可实现肌肤逆龄的效果.
强效肌肤再生PNPolynucleotide成分可修复受损肌肤,
改善肤色,肌肤纹理,肌肤弹性等根本性问题肌肤.
 丽珠兰

颜美特制

抗衰成份

超声刀
颜美丽珠儿注射

光彩蜜肌套餐

MINE DERMATOLOGY
菲洛嘉注射
超声刀
NCTF®的重多功效中,多被关注的是刺激肌肤纤维细胞再生,修复肌肤细胞损伤,抗衰激活细胞再生.

菲洛嘉的核心技术就是

NCTF135HA®

水肌焕颜套餐

MINE DERMATOLOGY
利用透明质酸直接注入到真皮层,使皮肤水润柔嫩、光泽透亮、真正解决真皮层缺少水分的问题,并且达到恢复弹性及美白提升的作用.

超声刀
水光注射
以指定的
方案施术,
绝无过分推荐

机关认证的
专业医院,
仅使用正品
个性化方
案制定

颜美向您承诺

绝无

代理医生!


MINE DERMATOLOGY
3楼咨询/皮肤中心

医院环境